Osteoarthritis is a chronic, progressive disease where the cartilage, soft tissues, and bones deteriorate in articular joints, which causes pain when your horse moves. Ringbone is a term for osteoarthritis that specifically occurs in the pastern and (or) coffin joints in a horse's lower limbs.. Ringbone is a disease that does not discriminate; horses of all breeds, ages, and functions can be at risk. An arthritic, degenerative disease of the pastern and coffin joints, ringbone comes in two types. High ringbone affects the pastern, and low ringbone affects the coffin. Similar to arthritis in people, ringbone develops in our equine.

Ringbone In Horses Causes, Symptoms, And Treatment.

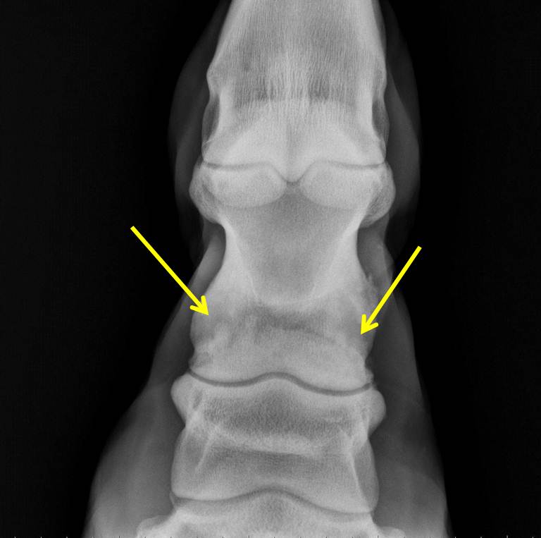
Michael Porter, Equine Veterinarian High Ring Bone!!

Ringbone or…Wingbone? See Horse Design

Ringbone in Horses Diagnosis & Treatment — Irongate Equine Clinic

Hoof Angles Part 4 — Enlightened Equine

Michael Porter, Equine Veterinarian High Ring Bone!!

Equine Ringbone Process, Progress, and Prognosis The Horse
Ringbone HorseDVM Diseases AZ

Ringbone Reality Check What It Could Mean for Your Horse Horse Rookie

Ringbone in Horses Symptoms, Causes, Diagnosis, Treatment, Recovery, Management, Cost

Ringbone Explained « Roanchar Ranch Draft Horse Rescue

Ringbone...??

What is Ringbone in Horses? Signs and Symptoms Best Horse Rider

Ringbone 101 US Equestrian

CABALLO SALUD Ring Bone en el Caballo, Sortija, Osteoatrosis interfalageana proximal en el

Ringbone In Horses Causes, Symptoms, And Treatment.

Michael Porter, Equine Veterinarian High Ring Bone!!

What Are Sidebone and Ringbone in Horses? The Horse

Ringbone Reality Check What It Could Mean for Your Horse

Ringbone in horses McDowell's Herbal Treatments
Physical signs of ringbone include swelling or a hard lump around the pastern or coffin joint. This might be more evident when the horse is standing on a hard surface or after a workout. In such instances, using a cooling wrap like the Ice Horse Tendon Wraps can help alleviate swelling and offer relief to your horse.. Then, inflammatory cells release toxins which create tissue damage and thin joint fluid. As damage increases, the body responds by producing scar tissue, which can then progresses into bony development. Ringbone in horses can produce the following symptoms: pain, swelling, lameness, heat, and tenderness.